La presentación de casos radiográficos, permite la visualización de patologías que son muy difíciles de ver en la clínica, ya que muchos de ellos son hallazgos radiográficos. Además permite ver y refrescar clasificaciones y conceptos muchas veces estudiados. La presentación de los mismos no incluyen datos personales, mas que edad y sexo, que suelen ser importantes para ver la correlación entre la patología, su aparición o forma de presentación.
Esto también refleja las patologías que aquejan a los pacientes de nuestra región, y trata de ser un faro tanto para profesionales como alumnos que estudian dichas lesiones.
Dr CARNEIRO, Matias Reneé . (Odontólogo, Especialista por Imágenes Buco-Maxilo-Faciales)
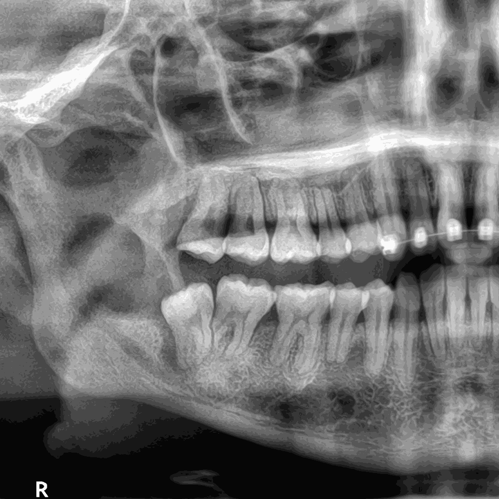
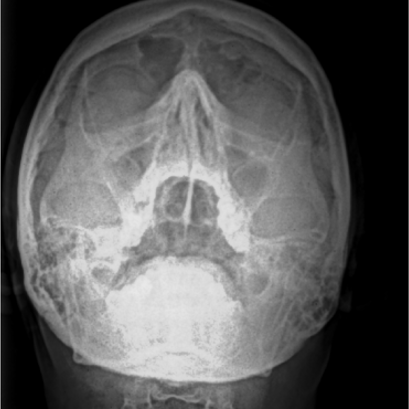
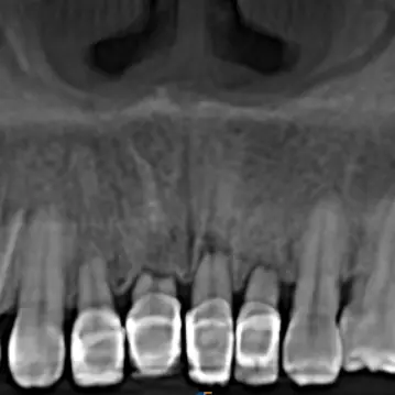
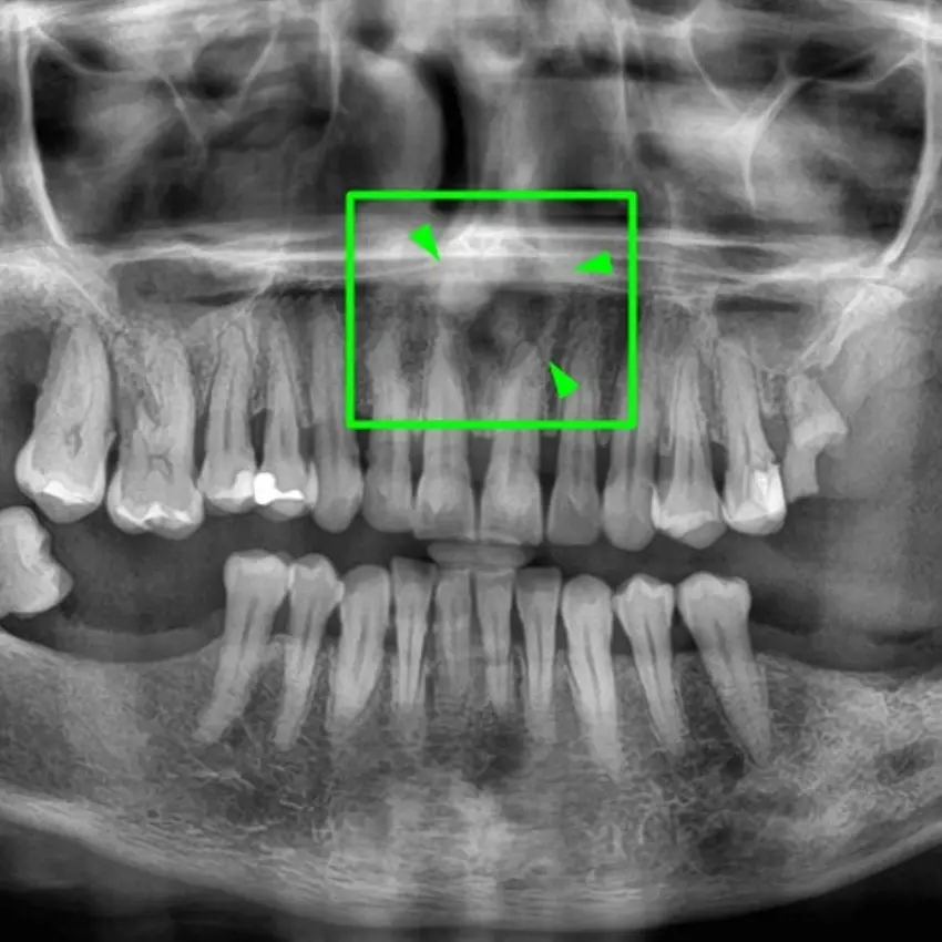
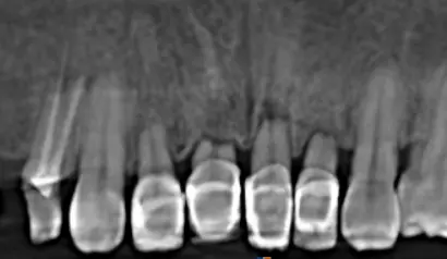
Caso N°
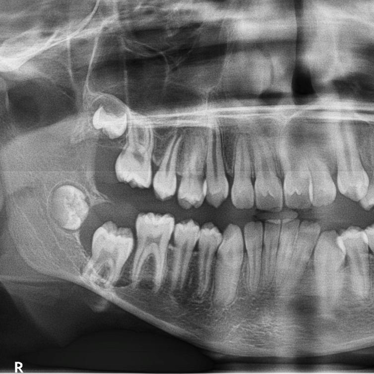
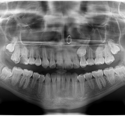
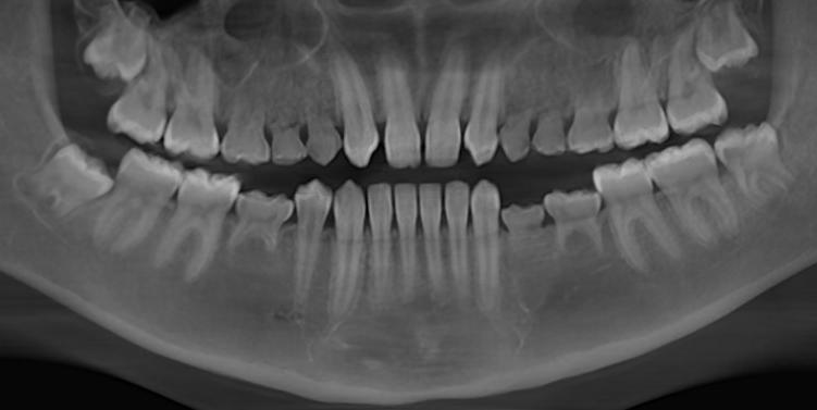
Caso N°
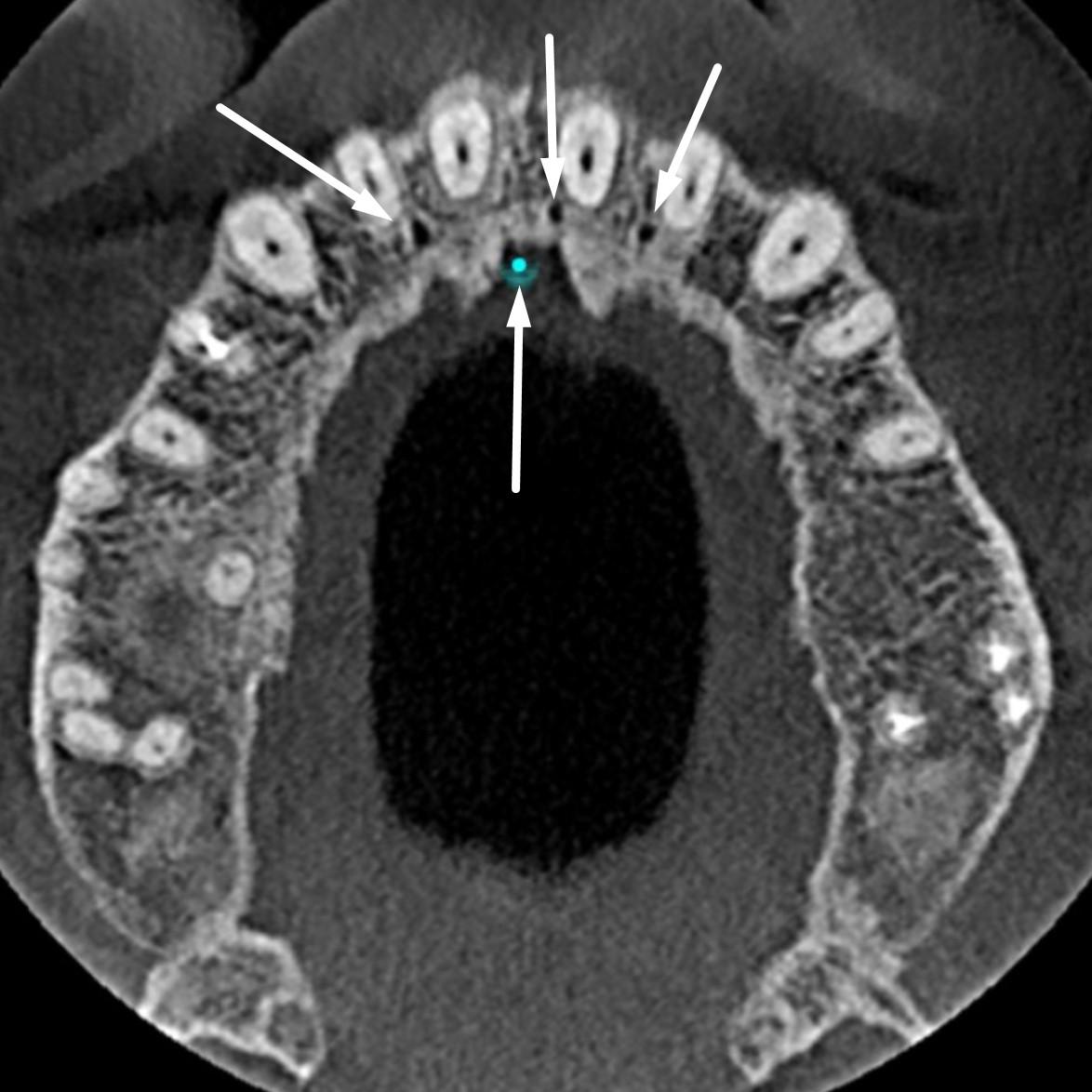
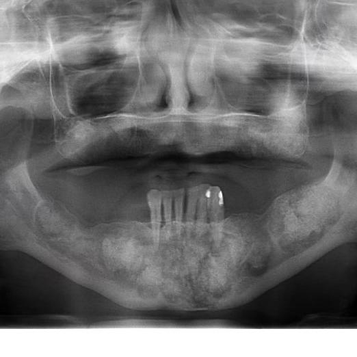
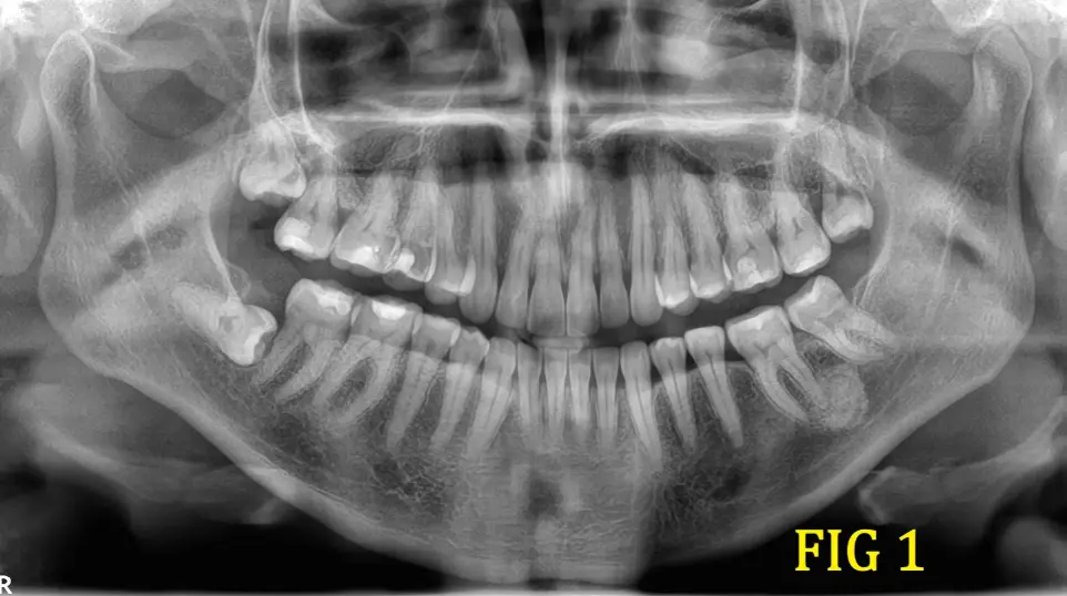
Caso N°
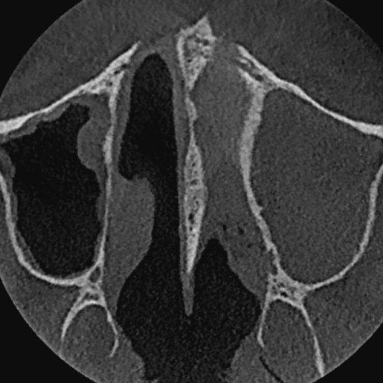
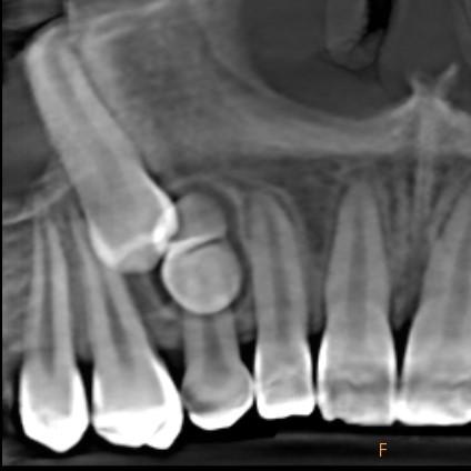
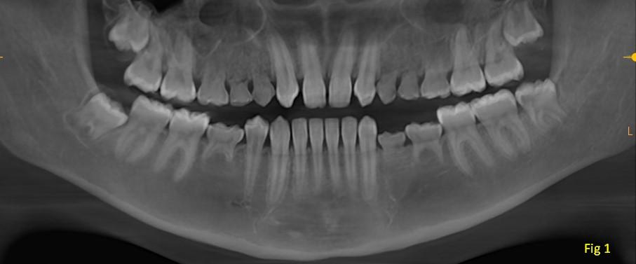
Caso N°
Caso N°
Caso N°
Caso N°
Caso N°
Caso N°
Caso N°
Caso N°
Caso N°
Caso N°
Caso N°
Caso N°
Caso N°
Caso N°
Caso N°
Caso N°
Caso N°
Caso N°
Caso N°
Caso N°
Caso N°
Caso N°
Caso N°
Caso N°
Caso N°
Caso N°
Caso N°
Caso N°
Caso N°
Caso N°
Caso N°
Caso N°
Caso N°










































































































