Paciente: Masculino, 34 años.
Motivo de consulta: abultamiento indoloro en sector posterior mandibular
Estudio solicitado: Cone Beam
Se presenta en caso de un paciente masculino de 34 años que no presenta dolor, pero si inflamación local en región posterior del maxilar inferior, lado derecho. Se procede a la adquisición de la CBCT.
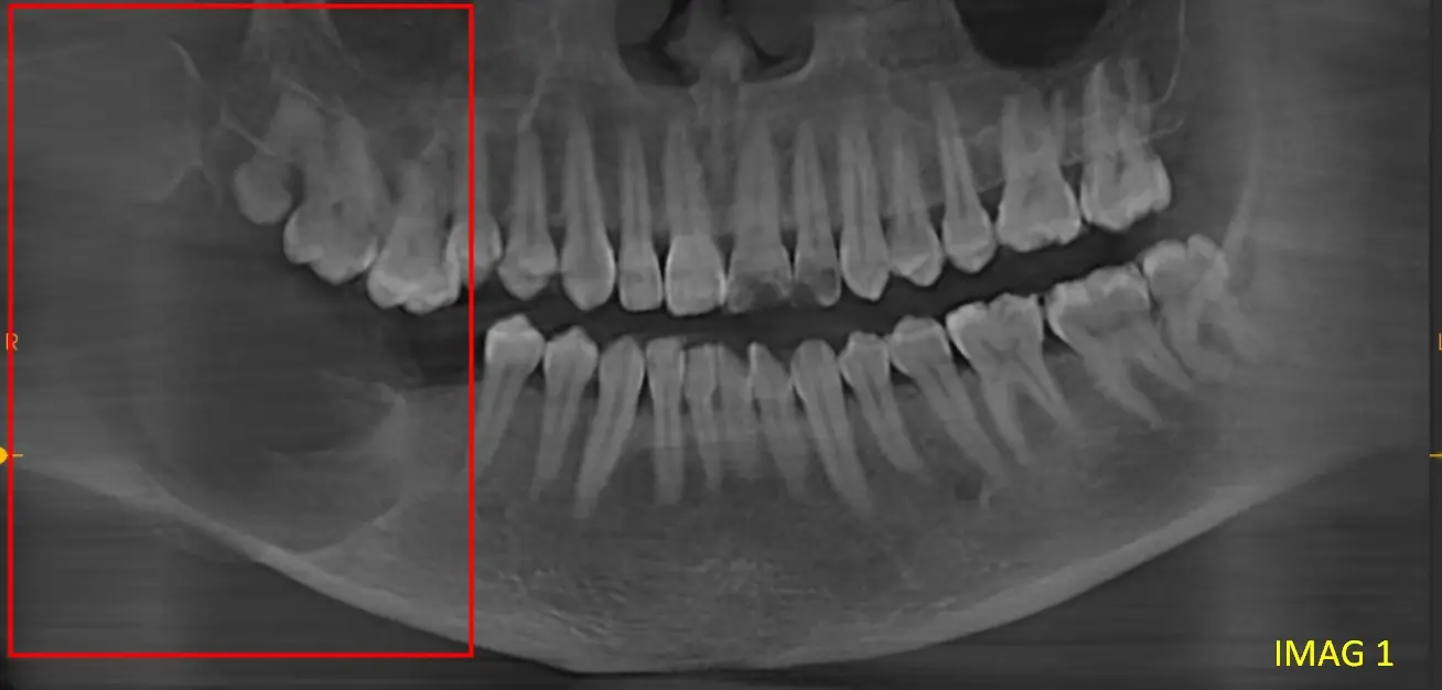
Se observa imagen hipodensa unilocular, bien delimitada que ocupa el área del ángulo mandibular extendiéndose hacia la rama ascendente (ver imagen 1).
En los cortes sagitales y axiales de CBCT (ver imagen 2 y 3) se evidencia un marcado desplazamiento del conducto dentario inferior hacia el borde basal, acompañado de adelgazamiento y perforación de la cortical ósea, visible en la reconstrucción multiplanar (ver imagen 4). El contenido de la lesión es homogéneo, no se identifican tabiques internos ni calcificaciones que sugieran una lesión fibro-ósea, y la expansión y perforación cortical indican un comportamiento localmente agresivo. Por la combinación de las características: lesión unilocular, sin relación dentaria, desplazamiento del conducto y perforación cortical— el diagnóstico más probable es un ameloblastoma unicístico, considerando como segundo diagnóstico diferencial un queratoquiste odontogénico.
COMENTARIOS
El ameloblastoma uniquístico (AU) es un tumor odontogénico benigno que se caracteriza por tener un crecimiento lento y localmente agresivo, con un alto riesgo de recurrencia. A diferencia de otros tipos de ameloblastomas, el AU se presenta como una lesión quística que recubre parcialmente una cavidad quística con un epitelio ameloblastomatoso.
Aunque benigno, el AU puede ser localmente agresivo y tiene tendencia a la recurrencia después del tratamiento.
Colaboración: Licenciada - Tec. Radióloga Lopez Natalia




