Paciente: masculino, 10 años.
Motivo de consulta: Mesiodens visible clínicamente.
Estudio solicitado: 1- Ortopantomografía (Radiografía Panorámica).
2- Tomografía Computarizada de Haz Cónico (CBCT).
En el examen clínico intraoral se observa pieza dentaria supernumeraria en región interincisiva superior, compatible con Mesiodens erupcionado (Imagen 1).
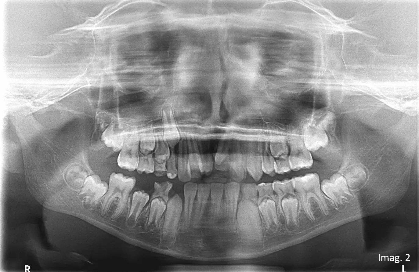
Con el fin de evaluar su relación con las piezas adyacentes y descartar alteraciones asociadas, se solicita estudio radiográfico complementario
(Imagen 2). Dada la limitación inherente del estudio bidimensional para determinar con exactitud la posición vestíbulo-palatina, la orientación tridimensional y la posible presencia de piezas adicionales, se indica estudio tomográfico.
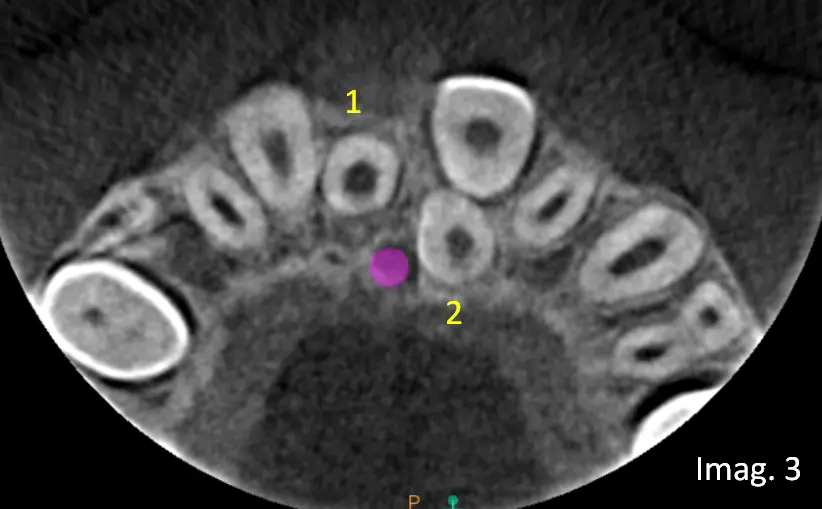
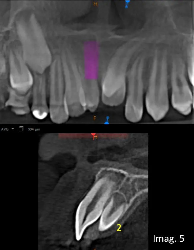
En el estudio tridimensional se confirma la presencia del Mesiodens clínicamente observable y además se identifica un segundo Mesiodens incluido, no detectable en el estudio panorámico inicial (ver imagen 3, vista axial).
En los cortes transaxiales (imágenes 4 y 5) se visualiza el primer Mesiodens ubicado en posición vestibular, próximo al reborde alveolar, clínicamente erupcionado, mientras que el segundo Mesiodens se encuentra localizado en posición palatina, intraóseo, no erupcionado, en íntima relación con las raíces de los incisivos centrales superiores.
COMENTARIOS:
Importancia de la CBCT en el diagnóstico de Mesiodens múltiples
El Mesiodens es el diente supernumerario más frecuente, localizado en la línea media del maxilar superior. Si bien en muchos casos puede detectarse clínicamente o mediante radiografías convencionales cuando está erupcionado, los Mesiodens incluidos o en posiciones atípicas pueden pasar desapercibidos en estudios bidimensionales.
La CBCT aporta ventajas fundamentales en este tipo de situaciones:
Visualización tridimensional precisa, eliminando la superposición de estructuras propia de las radiografías 2D.
Determinación exacta de la posición (vestibar y palatina), angulación y profundidad del diente incluido.
Colaboración: Tec. Radiologo Flores Alegre Alexander Gustavo Javier.





