Paciente: Femenino, 37 años.
Motivo de consulta: indicado para extracción de 3eros molares. A la hora de la realización del estudio se puede observar una lesión radiopaca en zona de pieza radicular 36.
Estudio solicitado: Rx Panoramica y Cone Beam
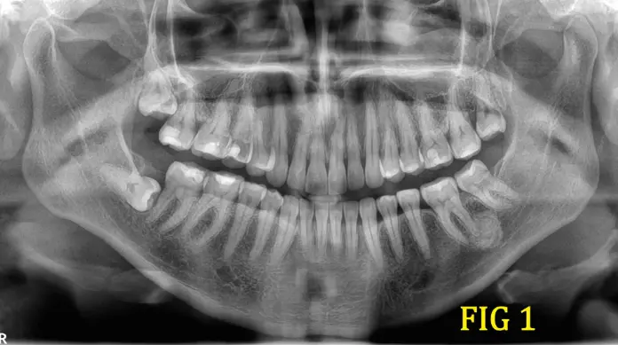
Se presenta el caso de un paciente femenino asintomático, de 37 años de edad que acude al centro de imágenes para la realización de una radiografía panorámica (IMG 1), indicado para extracción de 3eros molares. A la hora de la realización del estudio se puede observar una lesión radiopaca en zona de pieza radicular 36.
Días posteriores a la realización del primer estudio la paciente vuelve con indicación de la misma odontóloga de una tomografía cone beam enfocada en la zona de la lesión mencionada anteriormente(IMG 2), donde podemos observar con más claridad en el corte sagital, la lesión hiperdensa con bordes definidos que posee un halo periférico hipodenso, que se fusiona con la raíz dental de la pieza 36 (IMG 3), también se logra observar como el crecimiento de este tumor empieza a empujar la cortical del hueso maxilar (IMG 4).los signos que se presentan hacen pensar que estamos frente a un Cementoblastoma, el diagnóstico se confirma histológicamente tras la exodoncia o biopsia.
COMENTARIOS:
El cementoblastoma es un tumor odontogénico benigno y poco frecuente que se origina a partir de los cementoblastos, células encargadas de formar el cemento radicular. Se presenta con mayor frecuencia en pacientes jóvenes, afectando típicamente molares o premolares mandibulares. Radiológicamente, se manifiesta como una lesión radiopaca bien delimitada que se encuentra fusionada a la raíz del diente afectado, con un halo radiolúcido periférico característico.
Aunque su causa exacta es desconocida, se lo considera de origen neoplásico, no inflamatorio, y sin relación directa con caries o infecciones previas. Puede generar dolor leve, expansión cortical o movilidad dental en etapas avanzadas. El tratamiento de elección es quirúrgico, generalmente con exodoncia del diente comprometido, y el pronóstico es favorable si se realiza la resección completa.
Colaboración: Tec. Radiólogo Flores Alexander



