Paciente: Femenino, 54años.
Motivo de consulta: control general
Estudio solicitado: radiografía panorámica y Cone Beam
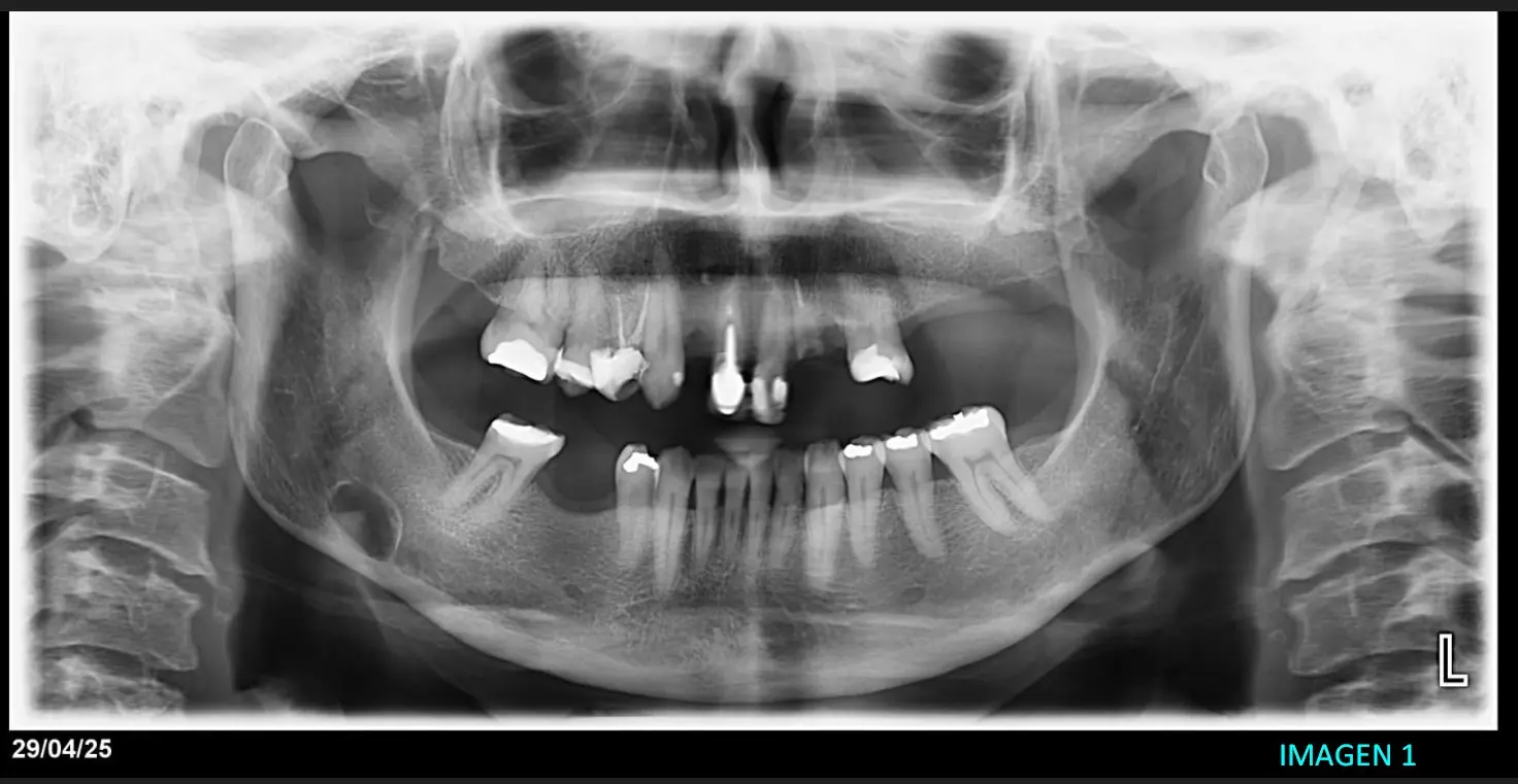
Se procede a realizar a paciente femenino de 54 años de una tomografía Cone Beam de maxilar inferior para control general. Luego de la realización de dicha tomografía y presentar el resultado nos consultan sobre una posible lesión que presenta la paciente y no se logra ver en la tomografía realizada. Procedimos a investigar el caso y comunicarnos con la paciente la cual nos muestra una Rx panorámica que se había realizado meses en otro centro de imágenes, en donde se observa imagen radiolúcida con forma redondeada ubicada específicamente en lado derecho cerca del ángulo de la mandíbula. Imagen 1
Por ende, se efectúa nuevamente una tomografía en la cual pueda abarcar la zona de interés (ángulo de la mandíbula), se realiza una Tac Cone Beam sectorizada de alta resolución zona maxilar inferior Pd 48.
Presentamos cortes transaxiales y axiales donde logramos ver imagen de forma redondeada con bordes delimitante y con densidad hipodenso la cual se encuentra en región molar cerca de ángulo de la mandíbula por debajo del conducto dentario inferior derecho y hacia cara lingual. Presenta ausencia de cara ósea lingual Imagen 2, imagen 3 e imagen 4.
Como diagnostico se llega a la conclusión de la presencia de Defecto Óseo de STAFNE, adjuntamos imagen 3D. Imagen 5
Por otro lado, atreves de este caso hemos aprendido la importancia de ante dudas investigar estudios anteriores como ser una Rx panorámica la cual nos permita detectar presencia y ubicación de alguna anomalía en boca, y así el área de imagenología logre realizar la Tomografía en la zona mas exacta posible.
COMENTARIOS:
DEFECTO OSEO DE STAFNE o CAVIDAD OSEA DE STAFNE:
Es una variante anatómica que se presenta como depresiones en el hueso mandibular debido a un cambio en la condición anatómica, es poco frecuente, en radiografías se observa radiolúcida y bien delimitada, que usualmente se presenta en la región molar cerca del ángulo mandibular y por debajo del canal del nervio dentario inferior.
Principalmente es encontrada en radiografías de rutina como hallazgo radiográfico Frecuentemente se diagnostica erróneamente con otros tipos de patología como Quiste residual, Quiste periapical, ameloblastoma y otros. Por lo que se sugiere darle seguimiento y control atravez de radiografías.
Colaboración: Tec. Radióloga Pintos Roxana







