Paciente: Femenino, 62 años.
Motivo de consulta: control post extracción de pieza dentaria. La paciente presentaba molestias e inflamación del lado derecho de la mandíbula.
Estudio solicitado: Cone Beam
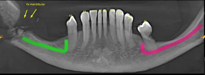
Tanto en la radiografía panorámica (imagen 1) como la tomografía maxilar inferior se puede observar una fractura mandibular a la altura del Angulo de la mandíbula con resto de fragmento óseo. (Fx Conminutas) Como también se logra ver todavía resto radicular de pieza dentaria. Ver imágenes 2 a imagen 5.
Para mayor información detallada se procedió a realizar una tomografía Cone Beam que abarque mas la zona de interés: zona Rama y Angulo de la mandíbula. Ver imágenes 6 a imagen 9.
COMENTARIOS:
Las fracturas mandibulares pueden ocurrir a causa de diferentes razones como ser a causa de un impacto-traumatismo, hueso debilitado por razones patológicas, por trastornos esquelético generalizado como Osteoporosis o también por exodoncia de piezas dentarias (mayormente por terceros molares). La fractura del ángulo mandibular asociada con la extracción del tercer molar retenido es una complicación infrecuente que puede darse durante el acto quirúrgico, o bien en el postoperatorio inmediato.
Las zonas de la mandíbula que se fracturan con mayor frecuencia son el ángulo, el cuerpo y el cóndilo.
Colaboración Tec. Radióloga Pintos Roxana







