Paciente: Femenino, 11 años.
Motivo de consulta: Evaluar lesión en zona de premolares del lado izquierdo del maxilar inferior.
Estudio solicitado: Cone Beam
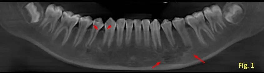
Se observa lesión hipodensa multilocular en la región del cuerpo mandibular izquierdo (sector de premolares), con una apariencia de vidrio esmerilado, correspondiente a la zona premolar-molar, con márgenes bien definidos y corticalizados (ver figura 1).
Presenta una tabla ósea en zona de pd 33,34,35 con abombamiento y en alguna zonas muy adelgazada, con posible ausencia de la misma (ver figura 2, vista axial).
En la figura 3, cortes transaxiales de mesial a distal se observa el desplazamiento del conducto dentario inferior izquierdo.
Adempas se visualiza lesión más pequeña, entre pieza dentaria 44-43 (ver figura 4), que no es compatible a espacios medulares del apciente, debido a su tamaño.
Radiográficamente presenta forma de lesión quística vinculante a Síndrome de Gorlin Goltz. Lo cual representa un diagnóstico presuntivo a partir de las imagenes obtenidas y analizadas, recordando que el diagnóstico de certeza lo dara la biopsia en estos casos, para poder determinar que tipo de células o ante que tipo de entidad es la presente en el paciente. permitiendo de esta forma actuar rapidamente evitando grandes remoxiones de tejido óseo o perdida de piezas dentarias.
Recordar que la edad de la paciente nos hace pensar en patologias que se desarrollaron en un corto periodo de tiempo, para poder ser observadas en las imágenes tomográficas.
COMENTARIOS:
El síndrome de Golin Goltz es una enfermedad genética poco frecuente que predispone a la aparición de tumores de piel o anomalías esqueléticas. La principal causa es la mutación del gen de Patched, localizado en el cromosoma 9.
Causas
- Es causado por una mutación en el gen Patched-1 (PTCH1) del cromosoma 9
- Es un trastorno autosómico dominante, lo que significa que se hereda de uno de los padres (muchas veces los mismos no saben que lo padecen)
Síntomas
- Anomalías en la piel, como carcinomas basocelulares, quistes, fóveas palmares y queratosis palmar y plantar
- Anomalías dentales, como queratoquistes odontogénicos
- Anomalías óseas, como costillas bifurcadas y espina bífida
- Anomalías oftálmicas, como hipertelorismo y estrabismo interno
- Anomalías neurológicas, como retraso mental y meduloblastoma
- Anomalías sexuales, como hipogonadismo
Diagnóstico
- Se basa en criterios clínicos y radiológicos
- Se puede confirmar con un análisis de ADN
Tratamiento
- No existe un tratamiento específico, pero se recomienda un abordaje multidisciplinario
- Los tratamientos pueden incluir la escisión de lesiones tumorales, quimioterapia tópica, terapia fotodinámica y/o ablación con láser
Colaboración: Licenciada - Tec. Radióloga Lopez Natalia




