Paciente: Masculino, 33 años.
Motivo de consulta: control por molestias en zona anterior del maxilar superior, se procede a la evaluación radiográfica para llegar a un diagnóstico.
Estudio solicitado: Cone Beam
En la región anterior del maxilar superior, específicamente en la zona periapical de la pieza 22 (incisivo lateral superior izquierdo), se observa lesión hipodensa de bordes definidos, forma ovalada, sin compromiso de la raíz (ver fig. 1, vista panorámica).
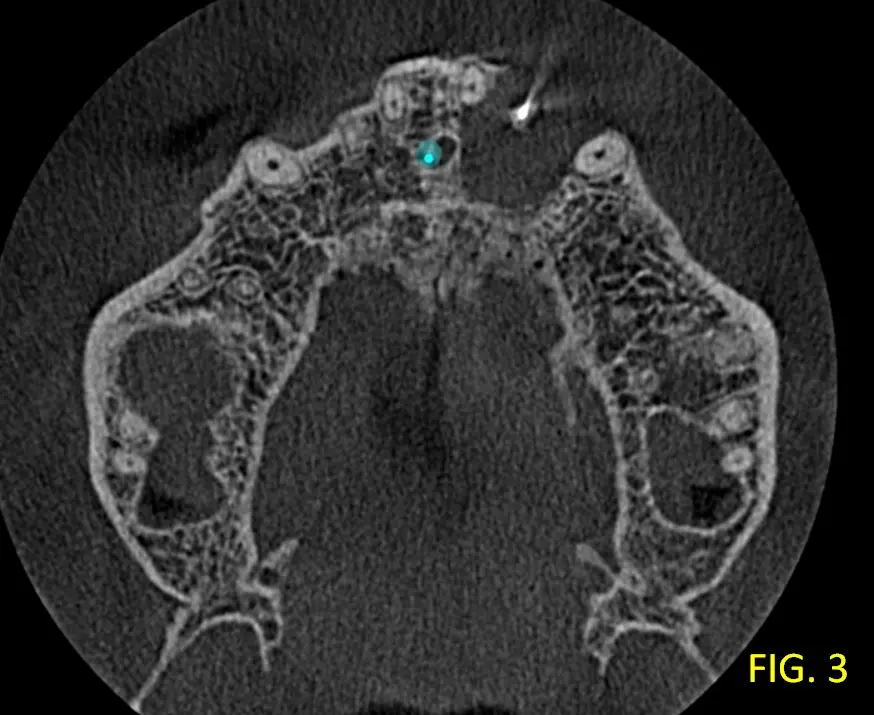
Su contenido es homogéneo, sin tabiques ni calcificaciones. No se observa invasión del piso de fosas nasales ni desplazamiento significativo de raíces vecinas. En el corte transaxial, fig. 2 se confirma la ubicación periapical exacta de la lesión, asociada a la pieza 22 donde se evidencia que la lesión es unilocular y no atraviesa estructuras anatómicas mayores. En la fig. 3, vista axial se observa la ausencia de la tabla ósea vestibular.
Los hallazgos tomográficos son compatibles con Quiste Radicular de evolución crónica.
COMENTARIOS
El quiste radicular es una inflamación que aparece en la raíz del diente por culpa de una lesión pulpar.
Cuando el quiste radicular tiene un tamaño considerable puede llegar a deformar la cara y puede ocasionar el desplazamiento de los dientes.
Los síntomas más evidentes cuando el paciente tiene un quiste radicular es que tiene inflamada la base del diente y sufre un poco de dolor en la zona afectada.
Colaboración: Licenciada - Tec. Radióloga Lopez Natalia


