Paciente: Masculino, 4 años.
Motivo de consulta: Traumatismo con perdida dentaria por accidente doméstico
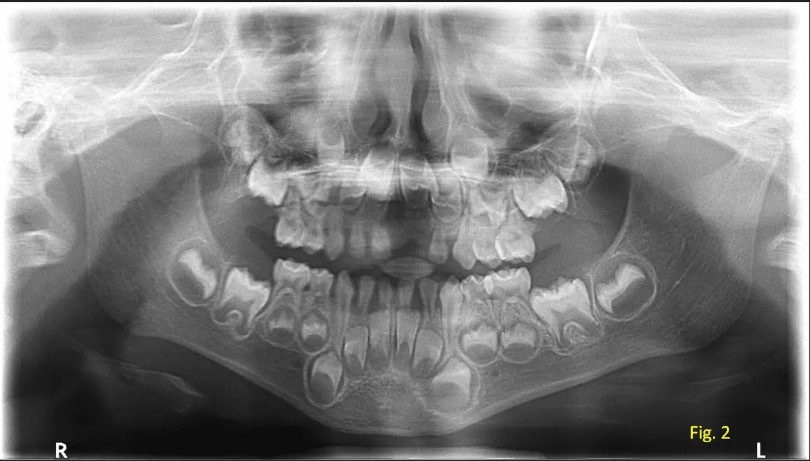
Estudio solicitado: Radiografía panorámica inicial.
Paciente pediátrico de 4 años y 4 meses de edad, quien sufrió un accidente domestico al golpearse con una cuchara a la hora de cenar, lo que provocó la avulsión de un incisivo superior central temporal (diente de leche anterior Pd 61), sin presencia inicial de hemorragia activa ni perdida de conciencia (ver figura 1)
Ante la preocupación materna se contacta con la odontóloga tratante, quien indica la realización de una radiografía panorámica para evaluar posibles daños a estructuras óseas, tejidos periapicales y la integridad del germen del diente permanente subyacente.
El niño asistió al centro de imágenes odontológico, acompañado de sus padres, donde se procedió a la toma de la radiografía panorámica. Se destaco su buena colaboración y comportamiento durante el procedimiento, lo que facilito la obtención de una imagen diagnostica de buena calidad, a pesar de su corta edad.
En la consulta presencial, la odontóloga constato que los incisivos inferiores temporales también presentaban movilidad, en relación con el proceso eruptivo avanzado. No se evidenciaron signos de infección ni inflamación aguda.
Al observar la radiografía panorámica, (ver figura 2) la odontóloga comenta que los dientes temporales, del paciente ya se encuentran próximos al recambio, dado que los gérmenes de los dientes permanentes están en proceso activo de erupción. Además, se evidencia espacios suficientes en las arcadas dentarias para permitir la erupción adecuada y alineada de los dientes permanentes definitivos, sin signos de apiñamiento o interferencias óseas.
Seguimiento clínico pediátrico cada 2 o 3 meses para controlar el avance de la erupción y recambio dentario. Recomendando cepillado frecuente, supervisado por los padres.
COMENTARIOS:
La radiografía panorámica, aun en pacientes pediátricos, resulta una herramienta fundamental para el diagnostico post-trauma, ya que brinda una visión amplia y no invasiva del desarrollo dentario y estructuras adyacentes.
Su uso oportuno permitió un abordaje adecuado del caso y una planificación a futuro para el seguimiento del desarrollo dental del niño.
Colaboracion: Técnica Radióloga De Mora Soledad

