Se presenta el caso de un paciente femenino asintomático, de 15 años de edad que acude al centro de imágenes para la realización de una cone bean indicado por su odontólogo para un control general.
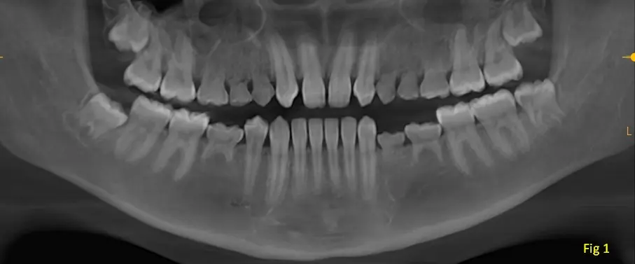
En una vista panorámica (imagen 1) se observa la persistencia de dientes temporarios en zona de premolares en ambos maxilares, tanto en el lado derecho como en el lado izquierdo lo que sugiere un cuadro de agenesia de múltiples piezas dentarias (15-14-12-22-24-25-35-34-45).
Los terceros molares se encuentran en vías de erupción.
Se observa una reabsorción ósea moderada de la cresta alveolar en zonas posteriores del maxilar inferior, específicamente donde hay ausencia de las piezas dentarias permanentes.
COMENTARIOS:
La agenesia múltiple es la ausencia congénita de varios dientes, es decir, la falta de desarrollo de múltiples piezas dentarias debido a una alteración en la ontogénesis.
Las principales causas podrían ser:
- Factores genéticos
- Síndromes asociados
- Factores ambientales
- Alteraciones en la cresta neural.
Colaboración: Licenciada - Tec. Radióloga Lopez Natalia
