Paciente: Masculino, 74 años.
Motivo de consulta: remitido para la realización de una radiografía panorámica tras un diagnóstico presuntivo de inflamación en el maxilar inferior.
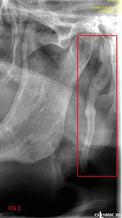
Estudio solicitado: Radiografía panorámica inicial.
En el análisis de la ortopantomografía, se identifican estructuras radiopacas bilaterales de morfología alargada. Estas formaciones se extienden desde la base del cráneo (apófisis estiloides) con una trayectoria descendente y anterior hacia el hueso hioides (FIG 1, 2 y 3). Basándose en las características imagenológicas, se concluye que se trata de una osificación bilateral del ligamento estilohioideo, un hallazgo que suele presentarse de forma incidental
COMENTARIOS:
La osificación del ligamento estilohioideo consiste en la mineralización de las estructuras fibroelásticas que conectan la apófisis estiloides con la asta menor del hueso hioides. Aunque esta condición es frecuentemente asintomática, cuando se asocia a manifestaciones clínicas como dolor facial, disfagia o sensación de cuerpo extraño faríngeo, se define como Síndrome de Eagle.
Debido a su ubicación anatómica, la radiografía panorámica dental es una herramienta fundamental para su detección, permitiendo diferenciar esta entidad de otras patologías del área maxilomandibular.
Colaboracion: Tec. Radióloga Silva Tamara Rosa


