Paciente: Femenino, 48 años.
Motivo de la consulta: Colocación de implantes - espesor óseo
Estudio solicitado: Cone Beam
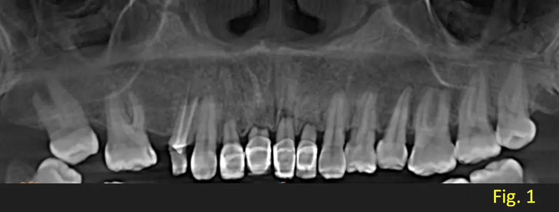
En una vista panoramica se observa que los apices de los incisivos centrales y laterales presentan una forma redondeada y corta. Pieza dentaria 2.1 presenta proceso de reabosción debido a que sigue con los patrones rectos y marcados como podemos visualizar en los cortes transaxiales (ver Fig. 1 y 2). Signos radiograficamente compatibles con Displasia dentinaria tipo 1.
Ademas se observa a la pieza dentaria 1.4 con tratamiento de conducto, lesión periapical en su raiz mesial y en la Fig. 3, (imagen 3D), logramos observar que el elemento de obturacion sobrepasa el foramen apical.
COMENTARIOS:
La displasia dentinaria es una enfermedad genética rara que causa un desarrollo anómalo de la dentina y las raíces de los dientes, aunque el esmalte suele ser normal. Se clasifica en dos tipos principales: el Tipo I (radicular) afecta principalmente a las raíces, mientras que el Tipo II (coronal) afecta más la dentina coronal. Los síntomas incluyen raíces cortas o malformadas, cámaras pulpares obliteradas (en el Tipo I), y a veces decoloración de los dientes temporales (en el Tipo II).
Tipo I (radicular)
- Afecta: Las raíces de los dientes, que suelen ser cortas, sin forma definida o ausentes.
- Hallazgos radiográficos: Obliteración de las cámaras pulpares y presencia de radiolucencias periapicales (infecciones alrededor de la raíz) a pesar de que los dientes parezcan sanos.
- Movilidad y exfoliación: Los dientes pueden presentar movilidad extrema y exfoliarse prematuramente.
Colaboración: Licenciada - Tec. Radióloga Lopez Natalia


