Empiece a escribir aquí..

Caso N° 92: Quiste Nasopalatino

Paciente: Femenino, 37 años.    

Motivo de consulta: control general y posible colocación de implantes.

Estudio solicitado: Cone Beam


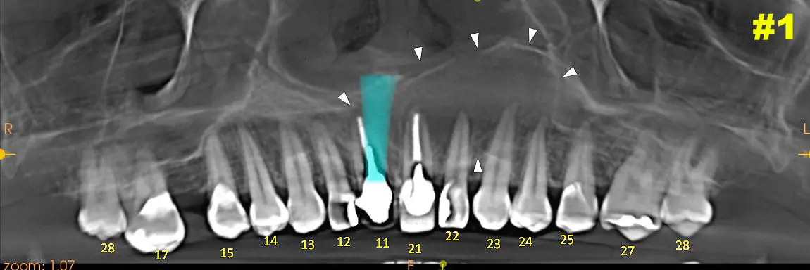
​Como resultado en primera Vista panorámica podemos ver imagen de forma redondeada con bordes delimitante y corticalizados con densidad hipodenso la cual se expande desde porción radicular de Pd 21 hasta porción radicular de Pd 24. Imagen 1

​Dicha lesión vemos que provoca expansión y abombamiento hacia piso de fosa nasal izquierda como también hacia cara palatina. Ver Imagen 2 Y 3. También se puede ver en una navegación  en cortes cada 1mm como se comporta la lesión - ver imágenes 4 y 5 (cortes transaxiales)

​Al momento de atención no menciono presentar alguna dolencia o molestia en boca.

 

COMENTARIOS:

​Los Quiste Radiculares son una de las lesiones más comunes de los maxilares, que se forman en la raíz de una pieza dentaria mayormente como comienzo de una infección, también puede ser por algún golpe recibido o enfermedad periodontal. Dicha lesión comúnmente tiene forma de cavidad con revestimiento epitelial donde contiene liquido o sustancia semilíquida y en las imágenes radiográficas se visualizan radiolúcidas (tirando a color negro) a causa del líquido que contiene. Comúnmente los quistes radiculares son asintomáticos.

Colaboración: Tec. Radióloga Pintos Roxana

Empiece a escribir aquí..
Caso N° 91: Quiste Nasopalatino