Paciente: Femenino, 20 años.
Motivo de consulta: Fase de Diagnóstico Complementario
Estudio solicitado: Tomografía Cone Beam de Superior completo.
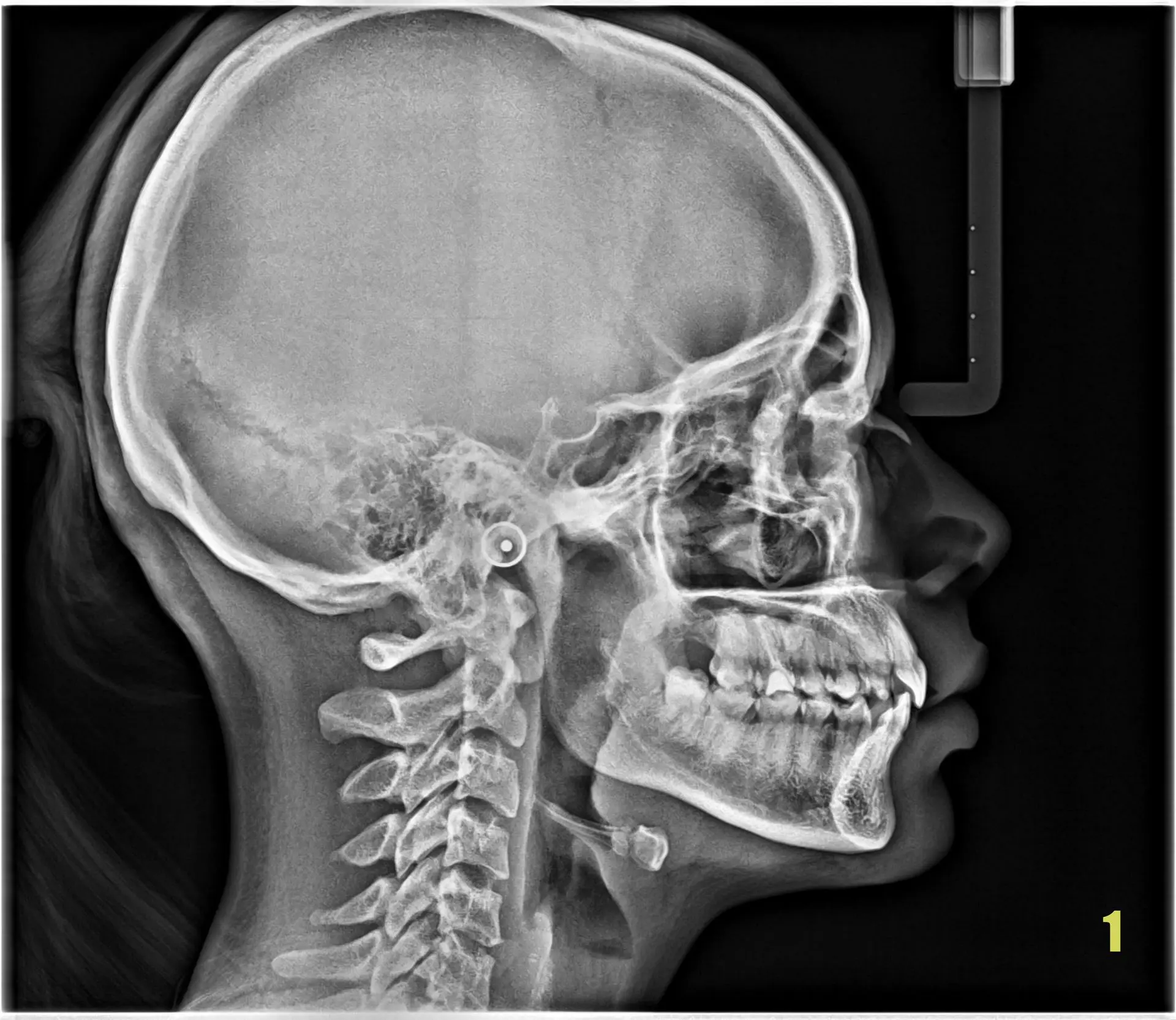
La paciente concurre a realizarse una telerradiografía de perfil (Imagen 01) para iniciar tratamiento de ortodoncia, 30 días después concurre nuevamente con las ortodoncias puestas para realizarse una tomografía para complementar el tratamiento, donde se encontraron varios hallazgos.(Imagen 02) Los cuales se describen con la letra "N" contabilizando 3 en total en el maxilar inferior y ocupando lugares para la normal erupcion de los caninos superiores
Pieza dental 16 presenta tratamiento de conducto, donde se logra observar lesión periapical.(Imagen 03)
Dientes supernumerarios en zona de piezas dentales 13 y 23, a su vez, se observa ectopia canina bilateral por palatino, ya que el lugar se encuentra ocupado por las piezas supernumerarias. (Imagen 04 y 05). Los cuales se describen con la letra "N" contabilizando 3 en total en el maxilar inferior y ocupando lugares para la normal erupcion de los caninos superiores
También logramos observar pieza dental supernumeraria en zona de pieza dental 25, también hacia palatino. (Imagen 06)
COMENTARIOS:
Ectopia canina bilateral con desplazamiento hacia la vertiente palatina: La trayectoria eruptiva de las piezas 13 y 2.3 se encuentra alterada, presentando una posición transalveolar oblicua. Esta condición está directamente asociada a la presencia de un elemento supernumerario en la línea media, el cual actúa como una barrera mecánica que impide el descenso fisiológico de los caninos hacia el arco dental.
Colaboracion: Tec. Flores Alegre Alexander Gustavo Javier.





