Paciente: femenino, 13 años.
Motivo de consulta: remitido CBCT para evaluación de pieza dentaria supernumeraria en zona anterior del maxilar inferior.
Estudio solicitado: Tomografía computarizada Cone Beam. Cortes multiplanares y reconstrucciones tridimensionales. Adecuada calidad diagnóstica.
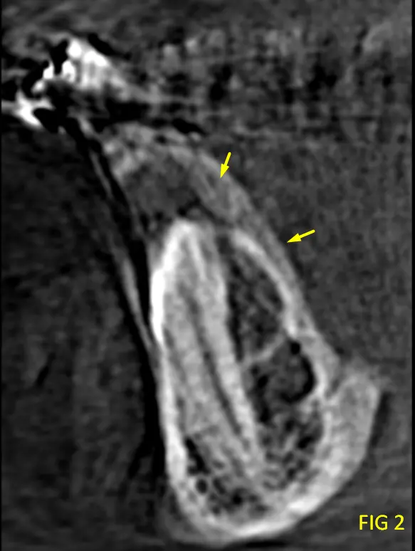
Paciente con ortodoncia, poco colaborativo (se movia) y que ademas presentaba ortodoncia, lo que dificulta obtener una imagen de buena calidad (Imagen 3D). Durante la evaluación de la tomografía se visualiza una pieza dentaria no erupcionada (PD 41 ) que presentaba en boca todavia su PD temporaria 81, esa pieza dentaria presentaba un saco dentinario aumentado de tamañao lo que nos lleva al diagnóstivo presuntivo de un Quiste Dentígero, pero además se observa que en el mismo se observa un pequeño elemento radiopaco asociada a dicha lesión, se identifica una imagen hiperdensa, de morfología irregular, compatible con un quiste dentario organizado, correspondiente a un odontoma (ver cortes coronal, axial, transaxial, Fig 1, 2 y 3).
Las características imagenológicas nombradas son compatibles con Quiste dentígero de Pd 41 asociado a un odontoma compuesto.
COMENTARIOS:
Un quiste dentígero asociado a un odontoma es una entidad patológica poco frecuente donde un quiste odontogénico benigno se desarrolla alrededor de la corona de un diente retenido que, a su vez, está impactado por un odontoma (tumor odontogénico mixto). Esta asociación causa comúnmente la retención de dientes permanentes, expansión ósea, y requiere tratamiento mediante enucleación quirúrgica del quiste y el odontoma, a menudo junto con la extracción del diente afectado.
Este hallazgo suele detectarse mediante estudios radiográficos de rutina o por la falta de erupción dental.
COLABORACION: Lic. En diagnostico por imágenes López Natalia Gisel.



